Hartecho

Echocardiografie: een kijkje in het hart van uw dier
Echocardiografie is een onderzoekstechniek waarbij we met behulp van ultrageluid real-time beelden (bewegende beelden) maken van de inwendige organen. Wanneer we specifiek het hart onderzoeken, noemen we dit echocardiografie.
Hoe werkt een echo-onderzoek?
Een echo-onderzoek is volledig pijnloos en ongevaarlijk voor zowel het dier als de onderzoeker. Daarom wordt uw huisdier in wakkere toestand onderzocht. Verdovende of kalmerende middelen beïnvloeden namelijk de hartfunctie, wat het onderzoek minder betrouwbaar zou maken.
Voor een duidelijke echobeeld wordt uw dier op enkele plekken geschoren, omdat lucht in de vacht de beeldkwaliteit verstoort. Het onderzoek duurt ongeveer 30 minuten en u mag er gewoon bij zijn. Tijdens het onderzoek wordt ook een hartfilmpje (ECG) gemaakt. Dit helpt om belangrijke fasen van de hartslag nauwkeurig te herkennen.
Verschillende echotechnieken
Bij echocardiografie gebruiken we verschillende technieken om het hart goed in beeld te brengen:
- B-mode echografie – Dit is een tweedimensionaal zwart-wit bewegend beeld. Hiermee beoordelen we de grootte van de boezems, kamers en grote bloedvaten. Ook kunnen we de hartkleppen goed zien bewegen en vochtophoping of tumoren in het hart opsporen.
echocardiogram bij een hond. - M-mode echografie – Dit geeft een eendimensionaal beeld waarmee we nauwkeurig de dikte van de hartwand en de grootte van de kamers tijdens samentrekking en ontspanning meten. Deze techniek wordt veel gebruikt bij het opsporen van hartaandoeningen zoals dilaterende cardiomyopathie (DCM) bij honden en hypertrofische cardiomyopathie (HCM) bij katten.
Heeft uw huisdier een hartonderzoek nodig? Neem gerust contact met ons op voor advies of een afspraak!

Doppleronderzoek: inzicht in de bloedstroom van uw dier
Met Doppleronderzoek maken we de bloedstroom in het hart en de bloedvaten zichtbaar. We kunnen niet alleen zien of er bloed stroomt, maar ook de richting en snelheid van de bloedstroom bepalen. Binnen de cardiologie gebruiken we drie Dopplertechnieken:
- Kleurendoppleronderzoek – Dit onderzoek toont de bloedstroom in verschillende kleuren. Bloed dat omhoog stroomt, kleurt rood, terwijl bloed dat naar beneden stroomt, blauw wordt weergegeven. Hoe lichter de kleur, hoe sneller de bloedstroom. Met deze techniek kunnen we lekkages, vernauwingen of afwijkende verbindingen (shunts) opsporen.
- Spectrumdoppleronderzoek – Hiermee meten we de bloedstroomsnelheid in een specifiek deel van het hart. Er zijn twee methoden:
PW (Pulsed-Wave) Doppler – Voor snelheden tot 2 meter per seconde, binnen de normale fysiologische grenzen.
CW (Continuous-Wave) Doppler – Voor hogere snelheden, zoals bij ernstige vernauwingen.
Heeft uw huisdier een hartonderzoek nodig? Neem gerust contact met ons op voor meer informatie of een afspraak.

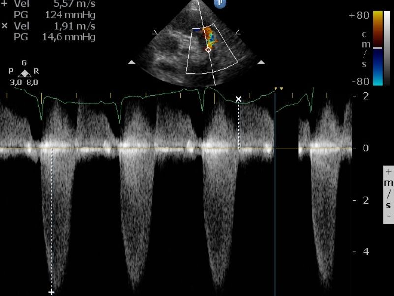
CW-Doppler-echocardiogram
Met een CW-Doppler-echocardiogram kan de dierenarts de bloedstroomsnelheid nauwkeurig meten. In dit geval bleek het bloed in de longslagader veel te snel te stromen (5,57 m/s), wat leidde tot de diagnose ernstige pulmonaal stenose.
Daarnaast kan met tissue-Doppleronderzoek de snelheid van de samentrekking en ontspanning van de hartspier worden gemeten.
Waarom een hartecho?
Er zijn verschillende redenen om een echocardiografisch onderzoek uit te voeren:
- Hartruis – De meest voorkomende reden voor een hartecho. Met echografie kan de cardioloog vaststellen welke hartaandoening de ruis veroorzaakt.
- Vergroot hart op röntgenfoto’s – Als röntgenbeelden van de borstkas een vergroot hart laten zien, kan een hartecho helpen bij verdere diagnose.
- Screening op erfelijke hartaandoeningen – Sommige ernstige hartaandoeningen blijven lange tijd onopgemerkt. Screening is daarom belangrijk, vooral bij fokdieren, om erfelijke hartziekten uit te sluiten.
Echocardiografie bij honden en katten
Bij honden wordt echografie vaak gebruikt om dilaterende cardiomyopathie (DCM) te screenen, vooral bij dobermanns, en om aortastenose op te sporen, vooral bij boxers.
Bij katten wordt echografie ingezet om hypertrofische cardiomyopathie (HCM) vast te stellen.
Heeft uw huisdier een hartecho nodig? Neem contact met ons op voor meer informatie of een afspraak.