Röngen voor het gebit
Net als bij de tandarts
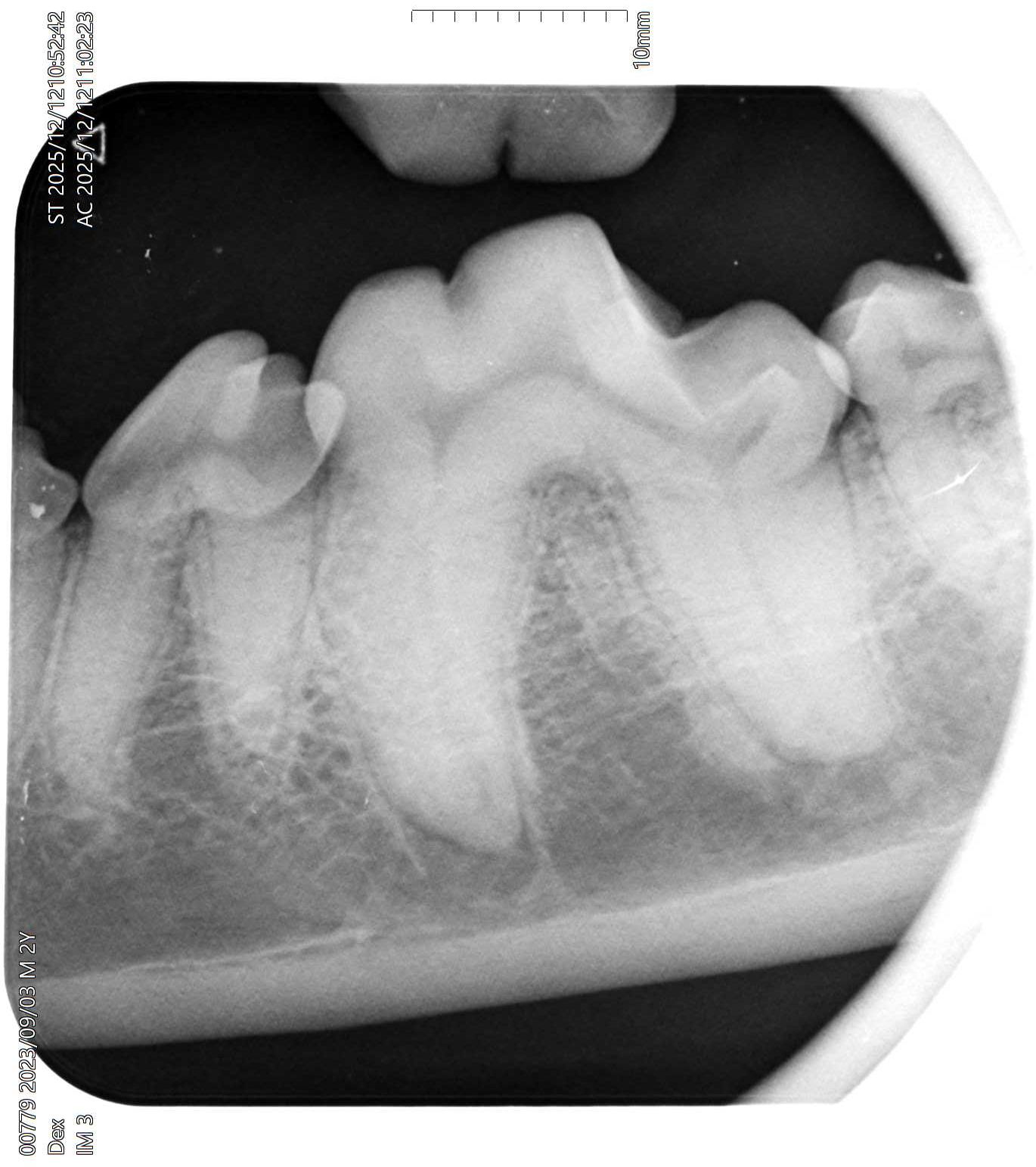
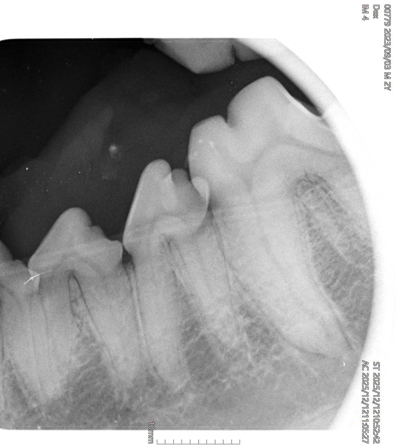
Sinds kort is Dierenkliniek Schinnen in bezit van de modernste tandheelkundige röntgen. Net als bij de tandarts worden plaatjes in de mond gedaan om te kijken of er kiezen of tanden aan het ontsteken zijn.
65 procent van de volwassen honden heeft een of meerdere beginnende of gevorderde ontstekingen van tanden en kiezen. Ze kunnen het alleen niet zeggen. En honden en katten laten het niet snel blijken.
We krijgen goed pas zicht op de staat van het gebit als onder verdoving het tandsteen is verwijderd. Hierna wordt gekeken met een sonde of er te veel ruimte tussen kies en tandkas is. Als dat het geval is dan is zo een wortel verdacht en kunnen we een foto maken om te kijken of we de kies kunnen laten zitten of dat de kies toch getrokken moet worden.
Sinds kort is Dierenkliniek Schinnen in bezit van de modernste tandheelkundige röntgen. Net als bij de tandarts worden plaatjes in de mond gedaan om te kijken of er kiezen of tanden aan het ontsteken zijn.
65 procent van de volwassen honden heeft een of meerdere beginnende of gevorderde ontstekingen van tanden en kiezen. Ze kunnen het alleen niet zeggen. En honden en katten laten het niet snel blijken.
We krijgen goed pas zicht op de staat van het gebit als onder verdoving het tandsteen is verwijderd. Hierna wordt gekeken met een sonde of er te veel ruimte tussen kies en tandkas is. Als dat het geval is dan is zo een wortel verdacht en kunnen we een foto maken om te kijken of we de kies kunnen laten zitten of dat de kies toch getrokken moet worden.