Officiële röntgenfoto’s HD en ED


Om de aandoeningen heupdysplasie (HD) en elleboogdysplasie (ED) aan te kunnen tonen, dienen er officiële röntgenfoto’s gemaakt te worden. Voor veel rashonden is het verplicht om deze officiële foto’s gemaakt te hebben, alvorens met deze honden te mogen fokken.
De foto’s worden beoordeeld door de Raad van Beheer. Onze praktijk is bevoegd om officiële röntgenfoto’s te maken voor het fokken van rashonden.

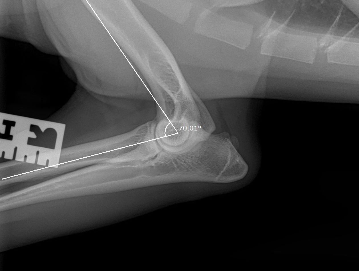
Hieronder foto's van Guus genomen met onze nieuwe DRgem rontgen. Beoordeeld met de hoogste score door de Raad van Beheer op Kynologisch gebied

Officiële röntgenfoto’s HD en ED


Om de aandoeningen heupdysplasie (HD) en elleboogdysplasie (ED) aan te kunnen tonen, dienen er officiële röntgenfoto’s gemaakt te worden. Voor veel rashonden is het verplicht om deze officiële foto’s gemaakt te hebben, alvorens met deze honden te fokken.
De foto’s worden beoordeeld door de Raad van Beheer. Onze praktijk is bevoegd om officiële röntgenfoto’s te maken voor het fokken van rashonden.

 

Heupdysplasie onderzoek

Heupdysplasie is een ontwikkelingsstoornis van de heupgewrichten, deze aandoening kan erfelijk zijn, maar omgevingsfactoren spelen soms ook een rol. Een hond hoeft geen last te hebben van HD, dus aan de buitenkant kunt u niet zien of een hond HD heeft. Als uw hond goed kan lopen, wil dit niet zeggen dat er geen HD speelt. Om dit met zekerheid te kunnen beoordelen zijn röntgenfoto’s van de heupen nodig.
Bijna alle rashonden kunnen onderzocht worden vanaf de leeftijd van 12 maanden. Wel is het een voorwaarde dat uw hond in het Nederlands Honden Stamboek (NHSB) op uw naam en adres geregistreerd staat. Enkele (grote) rassen kunnen pas vanaf 18 maanden leeftijd onderzocht worden: Berghond van de Maremmen, Bordeaux Dog, Bullmastiff, Duitse Dog, Landseer E.C.T., Leonberger, Mastiff, Mastino Napoletano, Newfoundlander, Pyreneese Berghond, Sint Bernard.
Meestal passen wij een sedatie toe bij het maken van de officiële HD-foto’s. Dit is nodig om een kwalitatief goede foto te maken, welke aan de hoge eisen van de beoordelingscommissie moet voldoen. Uw hond moet op zijn of haar rug liggen, waarbij het bekken en de achterpoten symmetrisch worden gestrekt en de knieschijven moeten op juiste manier worden ingedraaid.
Als de foto’s gemaakt zijn, sturen wij deze door naar de Raad van Beheer. Vaak heeft u met een week de officiële uitslag met een certificaat.
Voor meer informatie over heupdysplasie van het Raad van Beheer kunt u een kijkje nemen op deze website: klik hier.

 

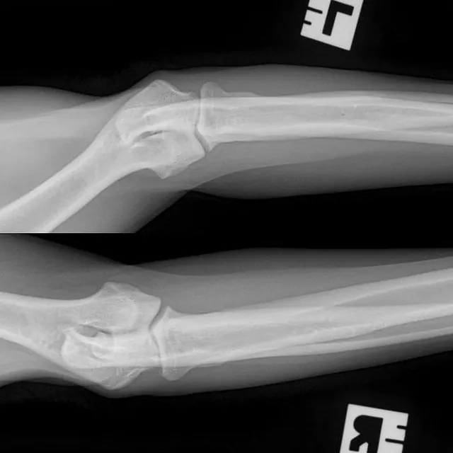
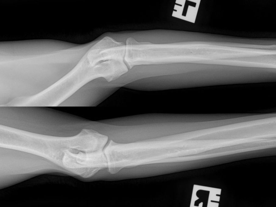
Elleboogdysplasie (ED) onderzoek

Elleboogdysplasie is een ontwikkelingsstoornis van de ellebooggewrichten, met name het kraakbeen is aangetast. Deze aandoening kan erfelijk zijn, maar omgevingsfactoren spelen soms ook een rol. Er zijn honden die op jonge leeftijd al problemen ondervinden door ED, soms komt het pas op latere leeftijd tot uiting. Om te kunnen zien of uw hond ED heeft zijn röntgenfoto’s van de ellebogen nodig.
Bijna alle rashonden kunnen onderzocht worden vanaf de leeftijd van 18 maanden. Wel is het een voorwaarde dat uw hond in het Nederlands Honden Stamboek (NHSB) op uw naam en adres geregistreerd staat. Voor een aantal rassen geldt een minimumleeftijd van 12 maanden: Golden Retriever, Labrador Retriever, Nova Scotia Duck Tollin Retriever,

Flatcoated Retriever, Chesapeake Bay Retriever, Duitse Herdershond, Rottweiler, Bouvier des Flandres.
Voor een aantal rassen is een diagnose-onderzoek verplicht. Bij dit onderzoek dienen er per elleboog vier foto’s in vier verschillende richtingen gemaakt te worden (dus in totaal 8 foto’s). Deze rassen zijn: Labrador Retriever, Golden Retriever, Chesapeake Bay Retriever, Rottweiler, Berner Sennenhond, Duitse Herdershond, Bordeaux Dog.
Voor alle andere rassen volstaat een onderzoek met twee foto’s per elleboog. Meestal passen wij een lichte sedatie toe bij het maken van de officiële ED-foto’s. Dit is nodig om een kwalitatief goede foto te maken, welke aan de hoge eisen van de beoordelingscommissie moet voldoen. Uw hond moet op zijn of haar zijde en borst liggen, waarbij de elleboog in verschillende houdingen wordt gelegd.
Als de foto’s gemaakt zijn, sturen wij deze door naar de Raad van Beheer. Vaak heeft u met een week de officiële uitslag met een certificaat.
Voor meer informatie over heupdysplasie van het Raad van Beheer kunt u een kijkje nemen op deze website.

 

Onze tarieven 2025:
Officieel HD onderzoek €190,00
Officieel HD + ED (2 opnames per elleboog) onderzoek €325,00
Officieel HD + ED (4 opnames per elleboog) onderzoek €375,00
Officieel ED (2 opnames per elleboog) onderzoek €200
Officieel ED (4 opnames per elleboog) onderzoek €225
Officieel HD — Beoordelingskosten RvB €68,75
Officieel ED — Beoordelingskosten RvB €82,45
Alle prijzen zijn inclusief BTW en exclusief eventuele sedatie.

Voor meer informatie over het maken van HD- en ED-foto’s, neem dan gerust contact met ons op

  • undefined
  • undefined